Rize Haber meritbet deneme bonusu veren siteler deneme bonusu veren siteler deneme bonusu veren siteler deneme bonusu veren siteler deneme bonusu veren siteler deneme bonusu veren siteler deneme bonusu veren siteler deneme bonusu veren siteler deneme bonusu veren siteler deneme bonusu veren siteler deneme bonusu veren siteler deneme bonusu veren siteler deneme bonusu veren siteler deneme bonusu veren siteler deneme bonusu veren siteler deneme bonusu veren siteler deneme bonusu veren siteler deneme bonusu veren siteler deneme bonusu veren siteler deneme bonusu veren siteler deneme bonusu veren siteler
16 Aralık 2025
İstanbul
Açık
5°
Adana
Adıyaman
Afyonkarahisar
Ağrı
Amasya
Ankara
Antalya
Artvin
Aydın
Balıkesir
Bilecik
Bingöl
Bitlis
Bolu
Burdur
Bursa
Çanakkale
Çankırı
Çorum
Denizli
Diyarbakır
Edirne
Elazığ
Erzincan
Erzurum
Eskişehir
Gaziantep
Giresun
Gümüşhane
Hakkari
Hatay
Isparta
Mersin
İstanbul
İzmir
Kars
Kastamonu
Kayseri
Kırklareli
Kırşehir
Kocaeli
Konya
Kütahya
Malatya
Manisa
Kahramanmaraş
Mardin
Muğla
Muş
Nevşehir
Niğde
Ordu
Rize
Sakarya
Samsun
Siirt
Sinop
Sivas
Tekirdağ
Tokat
Trabzon
Tunceli
Şanlıurfa
Uşak
Van
Yozgat
Zonguldak
Aksaray
Bayburt
Karaman
Kırıkkale
Batman
Şırnak
Bartın
Ardahan
Iğdır
Yalova
Karabük
Kilis
Osmaniye
Düzce
En Son Olay Dünya Mutfaktaki basit bir hata sonucu beynini kurtlar sardı

Mutfaktaki basit bir hata sonucu beynini kurtlar sardı

60 yaşındaki bir kadının beynini; mutfaktaki basit bir hata sonucunda parazit kurtlar sardı. Ateşi yükselen kadın, ölümden döndü.

1 Dakika
OKUNMA SÜRESİ

Çin'de yaşayan 60 yaşındaki bir kadın, yüksek ateş ve şiddetli bilinç kaybı şikayetleriyle üç gün boyunca hastaneye başvurdu. Durumu o kadar ciddiydi ki konuşamıyor ve etrafındakilerle iletişim kuramıyordu.

Doktorlar Menenjit Şüphesiyle Hareket Etti

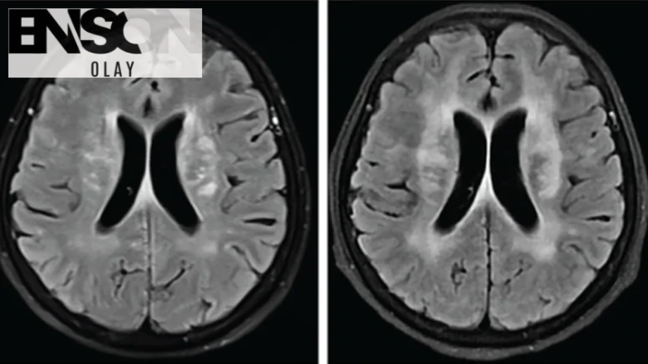
Doktorlar, kadının durumunu inceledikten sonra öncelikle menenjit şüphesiyle hareket etti. Yapılan MR sonucunda beyinde birçok lezyon tespit edildi ve bu durum enfeksiyon olasılığını artırdı. Ancak, antibiyotik tedavisine rağmen hastanın durumu iyileşmedi.

Bağışıklık Sistemindeki Anormallik Ortaya Çıktı

Yapılan detaylı tetkikler sonucunda, kadının bağışıklık sisteminin anormal seviyede beyaz kan hücresi ürettiği belirlendi. Bu durum, parazitik bir enfeksiyonu işaret ediyordu.

Tatlı Su Kereviti Tüketimi Tehlikeli Sonuçlar Doğurdu

Hastanın semptomları başlamadan önce tatlı su kereviti yediği ortaya çıktı. Bu durum, doktorları Angiostrongylus cantonensis adlı tehlikeli bir parazit türüne yönlendirdi.

Acil Müdahale ve İyileşme Süreci

Hastaya hemen antiparaziter ilaç olan albendazol verildi. İki hafta içinde konuşma yetisini geri kazanan kadının sağlık durumu hızla düzelmeye başladı. Dört ay sonra yapılan kontrollerde beyindeki lezyonların büyük ölçüde küçüldüğü ve hastanın neredeyse tamamen iyileştiği görüldü.

Yorumlar
* Bu içerik ile ilgili yorum yok, ilk yorumu siz yazın, tartışalım *