Rize Haber meritbet deneme bonusu veren siteler deneme bonusu veren siteler deneme bonusu veren siteler deneme bonusu veren siteler deneme bonusu veren siteler deneme bonusu veren siteler deneme bonusu veren siteler deneme bonusu veren siteler deneme bonusu veren siteler deneme bonusu veren siteler deneme bonusu veren siteler deneme bonusu veren siteler deneme bonusu veren siteler deneme bonusu veren siteler deneme bonusu veren siteler deneme bonusu veren siteler deneme bonusu veren siteler deneme bonusu veren siteler deneme bonusu veren siteler deneme bonusu veren siteler deneme bonusu veren siteler
13 Aralık 2025
İstanbul
Parçalı bulutlu
10°
Adana
Adıyaman
Afyonkarahisar
Ağrı
Amasya
Ankara
Antalya
Artvin
Aydın
Balıkesir
Bilecik
Bingöl
Bitlis
Bolu
Burdur
Bursa
Çanakkale
Çankırı
Çorum
Denizli
Diyarbakır
Edirne
Elazığ
Erzincan
Erzurum
Eskişehir
Gaziantep
Giresun
Gümüşhane
Hakkari
Hatay
Isparta
Mersin
İstanbul
İzmir
Kars
Kastamonu
Kayseri
Kırklareli
Kırşehir
Kocaeli
Konya
Kütahya
Malatya
Manisa
Kahramanmaraş
Mardin
Muğla
Muş
Nevşehir
Niğde
Ordu
Rize
Sakarya
Samsun
Siirt
Sinop
Sivas
Tekirdağ
Tokat
Trabzon
Tunceli
Şanlıurfa
Uşak
Van
Yozgat
Zonguldak
Aksaray
Bayburt
Karaman
Kırıkkale
Batman
Şırnak
Bartın
Ardahan
Iğdır
Yalova
Karabük
Kilis
Osmaniye
Düzce
En Son Olay Sağlık Prion hastalığı nedir, nasıl bulaşır? Türkiye'de var mı?

Prion hastalığı nedir, nasıl bulaşır? Türkiye'de var mı?

Sinir sistemini etkileyen nadir hastalıklar arasında yer alan prion hastalığı, son dönemde yeniden gündeme geldi. Peki, Prion hastalığı nedir, nasıl bulaşır? Türkiye'de var mı?

2 Dakika
OKUNMA SÜRESİ

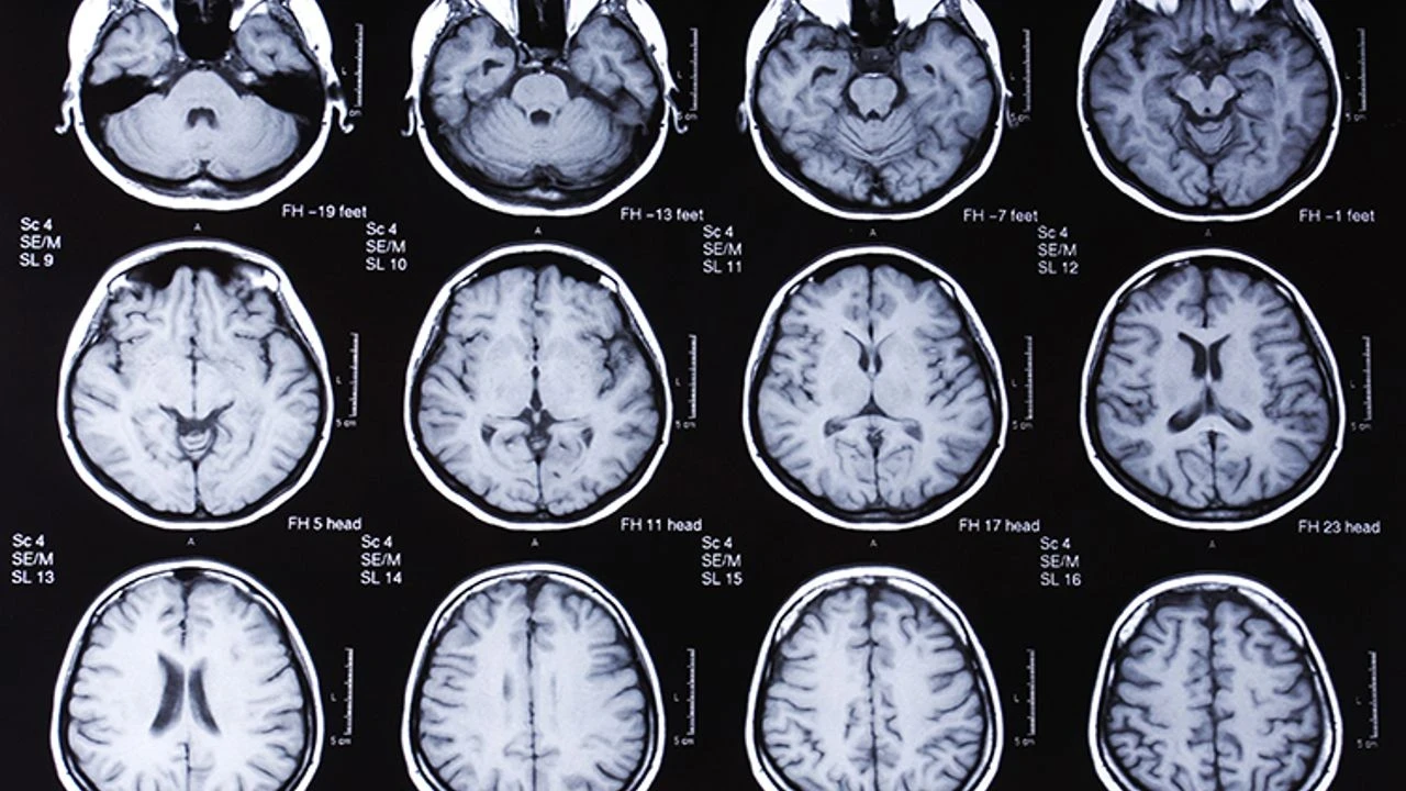
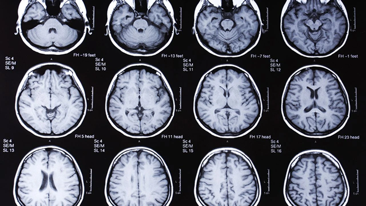
Prion Hastalığı Nedir?

Prion hastalığı, merkezi sinir sistemini etkileyen, ilerleyici ve ölümcül seyreden nörodejeneratif bir rahatsızlıktır. Bu hastalığa, “prion” adı verilen anormal yapıya sahip proteinler neden olur. Normalde zararsız olan bu proteinler, yapılarındaki bozulma nedeniyle diğer sağlıklı proteinleri de etkileyerek sinir hücrelerinde tahribata yol açar.

Prion Hastalıkları ve Bulaş Yolları

Prion hastalıkları, genel olarak beyinde süngerimsi dejenerasyona neden olur. İnsanlarda görülen en bilinen prion hastalığı türü Creutzfeldt-Jakob Hastalığı (CJD)’dır. Hayvanlarda ise “Deli Dana Hastalığı” (BSE - Bovine Spongiform Encephalopathy) bu grubun en yaygın örneklerindendir.

Prion Hastalığı Nasıl Bulaşır?

Prion hastalıkları, klasik anlamda bulaşıcı hastalıklar gibi yayılmaz. Ancak bazı durumlarda insandan insana ya da hayvandan insana geçiş söz konusu olabilir. Bulaş yolları hâlâ bilimsel araştırmaların konusudur. Bilinen başlıca bulaşma şekilleri tıbbi müdahaleler yoluyla, hayvan kaynaklı gıda tüketimi, genetik geçiş ve spontan gelişim şeklinde sıralanabilir.

Türkiye'de Prion Hastalığı Durumu

Türkiye’de prion hastalıklarına ilişkin bazı klinik ve bilimsel vakalar kayıt altına alınmıştır. Ancak hastalık nadir görülmektedir ve yaygın bir halk sağlığı sorunu oluşturmamaktadır. Ülkemizde tıbbi literatürde vaka bildirimleri, genetik araştırmalar ve hayvansal gıda kontrolü gibi konular üzerinde çalışmalar yapılmaktadır.

Prion Hastalığı Belirtileri

Prion hastalıkları genellikle sinsice başlar ve ilerleyicidir. Hafıza kaybı, kişilik değişiklikleri, denge ve koordinasyon bozuklukları, konuşma bozuklukları, görme problemleri, kas kasılmaları ve istemsiz hareketler, ileri evrede bilinç kaybı ve koma gibi belirtiler görülebilir. Bu belirtiler kesin tanı için nörolojik değerlendirme ve özel testler gerektirir.

Yorumlar
* Bu içerik ile ilgili yorum yok, ilk yorumu siz yazın, tartışalım *